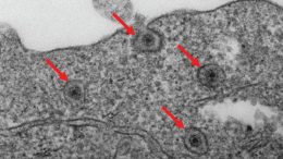
Discovery of Viral Entry Routes Into Cells Points to Future Prevention, Treatment Strategies
Researchers at Washington University School of Medicine in St. Louis have identified central routes that two deadly viruses take to invade human cells and have designed decoy molecules that block…