Rotavirus causes severe dehydrating diarrhea in infants and young children, contributing to more than 128,500 deaths per year globally despite widespread vaccination efforts. Although rotavirus is more prevalent in developing countries, declining vaccination uptake in the United States has resulted in increasing cases in recent years.
New research from Washington University School of Medicine in St. Louis has identified a key step that enables rotavirus to infect cells. The researchers found that disabling the process in tissue culture and in mice prevented infection. This discovery opens up new avenues for therapeutic intervention to treat rotavirus and other pathogens that rely on the same infection mechanism.
The results were published in PNAS.
“Rotavirus kills infants and children, young people who never had a chance at life,” said Siyuan Ding, PhD, an associate professor of molecular microbiology at WashU Medicine. “That’s why we want to develop effective therapeutics, even though we already have vaccines that we can use. Not all kids receive the vaccine, and this virus is very infectious. Once a child has the virus, there’s currently no treatment; we can only manage the symptoms.”
To identify a possible treatment, Ding and his collaborators focused on features of the body’s cells that can be leveraged to protect against viral infection. This strategy, Ding said, may be less likely to trigger drug resistance than targeting the virus itself and has the potential to work on multiple diseases because it is based on shared infection routes, not disease-specific traits.
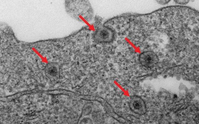
When a rotavirus particle burrows through the outer wall of a cell, it isn’t immediately free to infect the cell. Instead, the virus emerges inside a tiny cell compartment called an endosome.
The researchers identified an enzyme in cells, called fatty acid 2-hydroxylase (FA2H), that is essential to rotavirus breaking out of endosomes and fully infecting cells. Using advanced gene editing techniques, they removed the FA2H gene from human cells and found that viruses remained trapped in endosomes and could not replicate effectively. In other words, disabling FA2H prevented infection from the very beginning.
To confirm these results in animal models, the researchers created genetically modified mice specifically missing the FA2H enzyme in the cells lining the small bowel. These mice showed significantly fewer symptoms when infected with rotavirus compared to normal mice, demonstrating the importance of FA2H in viral infections.
Unlike vaccines that typically cue the body to produce antibodies that block pathogens from entering cells in the first place, disabling FA2H intervenes in the normal course of infection to craft a complementary line of host-based cellular defense against rotavirus and similar infections.
“Viruses are dependent on hosts, so we’re preventing infection by stopping them from using the host’s machinery,” Ding said. “We didn’t really know how this enzyme, FA2H, worked until this study, but now we’re seeing that the same process aids other pathogens, such as Junín virus and Shiga toxin, suggesting a common ‘entry code’ used by multiple disease-causing agents.”
Now that Ding and his collaborators have identified this pathway as a broadly exploitable entry mechanism, they can start testing drugs that duplicate the effect of FA2H gene editing.
Reference: Li E, Zang R, Kawagishi T, Zhang W, Iyer K, Hou G, Zeng Q, Meganck RM, Ross SR, Wang X, Su X, Ding S. Fatty acid 2-hydroxylase facilitates rotavirus uncoating and endosomal escape. PNAS. September 3, 2025. DOI: https://www.pnas.org/doi/10.1073/pnas.2511911122
Source: Washington University School of Medicine
