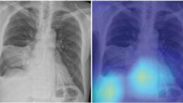
Deep-Learning Chest Radiograph Model Predicts Mortality for Community-Acquired Pneumonia
According to an accepted manuscript published in the American Roentgen Ray Society’s American Journal of Roentgenology (AJR), a deep learning-based model using initial chest radiographs predicted 30-day mortality in patients…