Study Points Toward Immune Reprogramming to Treat Candidiasis
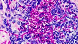
Systemic candidiasis is an opportunistic fungal infection that has been difficult to treat effectively. Research published in a paper in the April edition of Cell Host & Microbe suggests that…