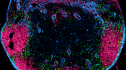
Research News August 23, 2022 Scientists Identify New Players in the Immune Response The human body contains 600 to 800 lymph nodes, which are specialized organs that trigger immune responses. To be informed about infections in the body, lymph nodes are connected to…